Будут выглядеть
как пластик
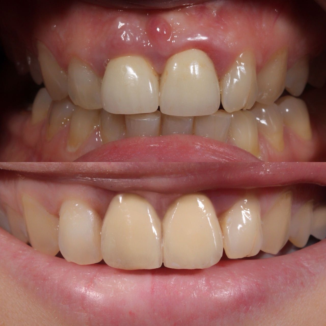
Зубы слишком белые и неестественные. Видно с первого взгляда, что это не свои.
Индивидуальный подбор под вашу внешность
Керамика E.max и Empress повторяет прозрачность и текстуру природной эмали. Форму и оттенок подбираем под ваше лицо, а не по шаблону.

